Подводные камни стоматологии
Композиты в стоматологии | Composites in dentis...
Композитные материалы
Композиты. Купить в Москве по выгодной цене сто...
Композиты - Фиксация - Стоматологические и зубо...
Контент для стоматологии | Ортодонтия, Стоматол...
Surgery Dent — стоматологические материалы | Su...
Стоматологические материалы | Стомадент
All Dental/Вся Стоматология 2024 | ВКонтакте
HomeDent — Сеть стоматологических клиник для вс...
Стоматологические композиты купить в Москве | Л...
Стоматологические материалы родом из страны Вос...
Методы современной стоматологии в Венгрии, стол...
Материалы для стоматологии – Новости машиностро...
Стоматологія історії
Коллекция коллажей стоматологических клиник "ТА...
Современные пломбировочные материалы (восстанов...
Композитные материалы в стоматологии - YouTube
Стоматологични материали
Композитный материал Стоматология Стоматологиче...
Стоматологія
Композиты в стоматологии
Общая стоматология. Лекция 1 - презентация онлайн
Услуги и цены | Центр стоматологии КБ
стоматологические композиты | визуал для стомат...
Производитель стоматологических материалов - ку...
Стоматологический материал | Стоматология, Поло...
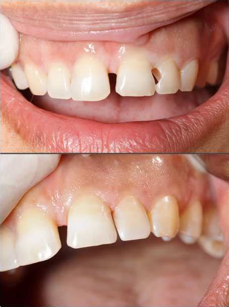
Композитная реставрация зубов - стоматология Ор...
Терапевтическая стоматология / Стоматология / У...
Ортопедична стоматология - Дентална практика Мо...
Композиты для коронок и мостов - Стоматологичес...
Пластмассы. Их применение в ортопедической стом...
Дизайн Стоматологии
Композитні матеріали для протезування зубіів ку...