О стоматологии и не только...: сентября 2015
HEALTHCARE DESIGN "Dr. Azizov's dental clinic" ...
Эстетические 20 цветов, стоматологические цирко...
Стоматолог визуал | Стоматология, Зубной, Ортод...
5 шт., стоматологические керамические блоки, 20...
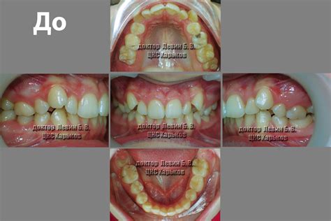
Способы исправления прикуса у взрослых | Стомат...
Доступная стоматология | Пикабу
Прикус зубов человека — виды и аномалии на Star...
Глубокий прикус | Стоматология Митино
Дизайн Стоматологии
ALL-ON-4® имплантация зубов в Краснодаре
Терапевтическая стоматология - презентация онлайн
ЗУБНЫЕ ПРОТЕЗЫ. Изготовление прикусных шаблонов...
Фото работ наших стоматологов
Сторис для стоматологии | ИДЕИ СТОРИС СТОРИСМЕЙ...
Мы - Зубной центр стоматология в СПБ
Курс: Simple prosthetics 6 semester
Исправление прикуса | Стоматология «DGdent»
Зубочелюстные аномалии. Дефекты зубов и зубных ...
Контент для стоматологии | Ортодонтия, Стоматол...
СТМ — Семейная стоматология
Стоматологія
Стоматологические циркониевые блоки Стоматологи...
100 шт/партия одноразовый прочный пластиковый с...
Стоматология докторов Копыловых | Исправление п...
ЗУБЫ | СТОМАТОЛОГИЯ | БРЕКЕТЫ | Сторис для стом...
Хит продаж, стоматологические расходные материа...
Печенье для стоматолога 31 (2103) - Торты и печ...
СТОМАТОЛОГИЯ | АСТАНА | ИМПЛАНТЫ | БРЕКЕТЫ on I...
Балочный протез на имплантах, цена протезирован...
Стоматология | Стоматология, Ортодонтия, Зубной
Эффективные методы стоматологической реабилитац...
О стоматологии и не только...: декабря 2015